Wurfplanung Pina & Besto Herbst 2022

Labrador Welpen Züchter aus Nordfriesland in Schleswig-Holstein

Hier geht es weiter...
 

 


 Wir erwarten um den 27.11.2022 Welpen

  

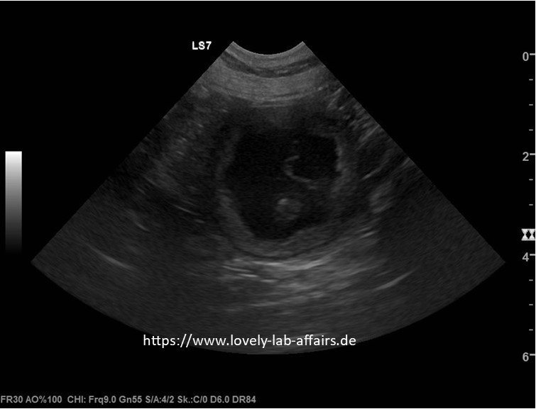
Wir freuen uns mitteilen zu können, dass wir um den 27. November 2022 einen Wurf mit braunen / chocolate Welpen erwarten. Die Ultraschalluntersuchung am 24. 10. 2022 hat uns mehrere Fruchthüllen / Welpen bei *Pina* erkennen lassen und auch die Herztöne waren bereits deutlich zu hören.

 

Wir freuen uns auf die bevorstehende Zeit...


 

 

Erwartete Geburt

Um den 27.11.2022

 

 

Update vom 24.10.2022

Pina war zum Ultraschall...

Wir konnten auf dem Ultraschall mehrere Fruchtanlagen erkennen

 

Update vom 25.09.2022

Pina wurde am 25. und 27.09.2022 gedeckt...

 

Update vom 12.09.2022

Pina ist läufig...

 

 
 
  
Bei Fragen zum geplanten Wurf oder Welpeninteresse melden Sie sich bitte telefonisch unter 04843-1561
 oder
senden Sie Ihre E-Mail Anfrage an:
 

 

*Pina Colada* from Lovely Lab Affairs

 *Besto* Herbu Zadora

 

 

Geschlecht / sex

Hündin / female

Zuchtzulassung

 04.02.2020

Geburtsdatum / d.o.b.

18.11.2017

 

 

DNA-Profil    LABOKLIN

vorhanden

 

 

Farbe / color

chocolate trägt gelb (bbEe)

 

 

HD (Hüften / hips)

B1 / B1

 

 

ED (Ellbogen / elbowes)

0 / 0

 

 

prcd-PRA

Normal / clear* (frei durch Erbgang / clear by parents)

 

 

Augen frei / eyes clear

 30.06.2022 - 30.06.2024

 

 

Gebiss / dentition

Vollzahnig, Schere

CNM - HMLR

Centronukläre Myopathie

N / N   (clear) 

 

 

H N P K (Hereditäre Nasale Parakeratose)

N / N   (clear)

 

E I C (Exercise Induced Collapse)

 N / N (frei)

Formwert

sehr gut

Prüfungen

 

Wesenstest

Züchter

Maren und Ralph Christensen

 

 

Stammbaum  

 

Wesenstest  

 

Formwert 

 

Bilder  

 

Geschlecht / sex

Rüde / male

Zuchtzulassung 01.06.2019

Geburtsdatum / d.o.b.

05.01.2018

DNA-Profil

vorhanden

 

 

 

 

Farbe / color

chocolate (bbEE)

 

 

HD (Hüften / hips)

A2 / A2

 

 

ED (Ellbogen / elbowes)

0 / 0

 

 

prcd-PRA

Optigen clear

 

 

Augen / eyes

18.03.2021 - 18.03.2023

 

 

Gebiss / dentition

Schere, Vollzahnig

Zwergenwuchs SD 2 N / N (clear)

E I C (Exercise Induced Collapse)

 N / N  (clear)

Farbverdünnung / Dilution D / D reinerbig (clear)

 Fell / Coat

 L / L

H N P K (Hereditäre Nasale Parakeratose)

 N / N  (clear)

CNM - HMLR

Centronukläre Myopathie

N / N   (clear) 

Formwert

vorzüglich

Prüfungen

Wesenstest

 Züchter / breeder

Kennel Herbu Zadora, Polen

 

 Besitzerin

Katja Heitmann

Stammbaum 

Wesenstest 

Formwert 

Bilder 

Wir erwarten aus dieser Verpaarung ausschließlich braune Welpen

 

 

 

 
Bei Fragen oder Welpeninteresse melden Sie sich bitte telefonisch unter
 04843-1561 oder senden Sie Ihre E-Mail Anfrage an:
 

 

 zurück zur Wurfplanung

 zurück zur Startseite 

 


Labrador Retriever Welpen aus Schleswig-Holstein

Labrador Züchter im Kreis Nordfriesland zwischen Flensburg und Husum

Wir züchten unsere Labrador Welpen im Labrador Club Deutschland e.V. (www.labrador.de)

Maren & Ralph Christensen [ Sönnigeskoppel 11 [ 25855 Haselund [ Fon 04843-1561

Schleswig-Holstein , Schleswig-Holstein , Schleswig-Holstein

braun, braun, braun, chocolate, chocolate, chocolate, schwarz, schwarz, schwarz,

Nordfriesland , Nordfriesland , Nordfriesland, Hamburg, Hamburg, Hamburg,

Welpen , Welpen , Welpen, Welpe, Welpe, Welpe, suche, suche, suche,

kaufen, kaufen, kaufen,


zurück zur Startseite

(C) 2010 - Alle Rechte vorbehalten

Diese Seite drucken