Röntgenaufnahmen Ally

Allys Hüften

HD: A2/A2
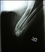
Allys Ellbogen gestreckt

ED: 0/0
Allys linker Ellbogen gebeugt Allys rechter Ellbogen gebeugt

Rückblicke

(C) 2010 - Alle Rechte vorbehalten

Diese Seite drucken